O

TORC1 (Phospho Ser151) Rabbit pAb

-YP1534

Catalog: YP1534
Size
Price
Status
Qty.
200μL
$600.00
In stock

0

100μL
$340.00
In stock

0

50μL
$190.00
In stock

0

Add to cart

Collected

Collect

Customized Service
Main Information
Target

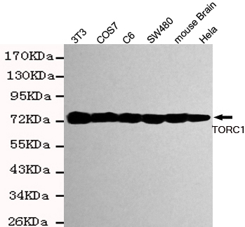
TORC1 Phospho Ser151

Host Species

Rabbit

Reactivity

Human, Mouse, Rat

Applications

WB

MW

70kD (Observed)

Conjugate/Modification


Phospho

Detailed Information
Recommended Dilution Ratio
WB 1:1000-2000
Formulation
Liquid in PBS containing 50% glycerol, 0.5% BSA and 0.02% sodium azide.
Specificity
This antibody detects endogenous levels of Human TORC1 or CRTC1 (phospho-Ser151).The name of modified sites may be influenced by many factors, such as species (the modified site was not originally found in human samples) and the change of protein sequence (the previous protein sequence is incomplete, and the protein sequence may be prolonged with the development of protein sequencing technology). When naming, we will use the "numbers" in historical reference to keep the sites consistent with the reports. The antibody binds to the following modification sequence (lowercase letters are modification sites):TNsDS
Purification
The antibody was affinity-purified from rabbit serum by affinity-chromatography using specific immunogen.
Storage
-15°C to -25°C/1 year(Do not lower than -25°C)
Concentration
1 mg/ml
MW(Observed)
70kD
Modification
Phospho
Clonality
Polyclonal
Isotype
IgG
Related Products
Primary Antibodies
TORC1 Mouse mAb
YM1329

More→

Primary Antibodies
MECT1/TORC1 Mouse mAb
YM1289

More→

Primary Antibodies
TORC1 Mouse mAb
YM1109

More→

Primary Antibodies
TORC1 Mouse mAb
YM0624

More→

Antigen&Target Information
Immunogen:
Synthesized phosho peptide around human TORC1 and CRTC1 (Ser151)
show all
Specificity:
This antibody detects endogenous levels of Human TORC1 or CRTC1 (phospho-Ser151).The name of modified sites may be influenced by many factors, such as species (the modified site was not originally found in human samples) and the change of protein sequence (the previous protein sequence is incomplete, and the protein sequence may be prolonged with the development of protein sequencing technology). When naming, we will use the "numbers" in historical reference to keep the sites consistent with the reports. The antibody binds to the following modification sequence (lowercase letters are modification sites):TNsDS
show all
Gene Name:
CRTC1 KIAA0616 MECT1 TORC1 WAMTP1
show all
Protein Name:
TORC1/CRTC1 (Ser151)
show all
Other Name:
CRTC1 ;
KIAA0616 ;
MECT1 ;
TORC1 ;
WAMTP1 ;
CREB-regulated transcription coactivator 1 ;
Mucoepidermoid carcinoma translocated protein 1 ;
Transducer of regulated cAMP response element-binding protein 1 ;
TORC-1 ;
Transducer of CREB protein 1
show all
Database Link:
Organism Gene ID SwissProt
Human 23373; Q6UUV9;
Mouse 382056; Q68ED7;
Rat 684527; Q157S1;
Function:
Disease:A chromosomal aberration involving CRTC1 is found in mucoepidermoid carcinomas, benign Warthin tumors and clear cell hidradenomas. Translocation t(11;19)(q21;p13) with MAML2. The fusion protein consists of the N-terminus of CRTC1 joined to the C-terminus of MAML2. The reciprocal fusion protein consisting of the N-terminus of MAML2 joined to the C-terminus of CRTC1 has been detected in a small number of mucoepidermoid carcinomas.,Function:Transcriptional coactivator for CREB1 which activates transcription through both consensus and variant cAMP response element (CRE) sites. Acts as a coactivator, in the SIK/TORC signaling pathway, being active when dephosphorylated and acts independently of CREB1 'Ser-133' phosphorylation. Enhances the interaction of CREB1 with TAF4. Regulates the expression of specific CREB-activated genes such as the steroidogenic gene, StAR. Potent coactivator of PGC1alpha and inducer of mitochondrial biogenesis in muscle cells. Also coactivator for TAX activation of the human T-cell leukemia virus type 1 (HTLV-1) long terminal repeats (LTR). In the hippocampus, involved in late-phase long-term potentiation (L-LTP) maintenance at the Schaffer collateral-CA1 synapses.,PTM:Phosphorylation/dephosphorylation states of Ser-151 are required for regulating transduction of CREB activity. TORCs are inactive when phosphorylated, and active when dephosphorylated at this site. This primary site of phosphorylation, is regulated by cAMP and calcium levels and is dependent on the phosphorylation of SIKs by LKB1 (By similarity). Phosphorylated upon DNA damage, probably by ATM or ATR.,similarity:Belongs to the TORC family.,subcellular location:Cytoplasmic when phosphorylated by SIK or AMPK and when sequestered by 14-3-3 proteins (By similarity). Translocated to the nucleus on Ser-151 dephosphorylation, instigated by a number of factors including calcium ion and cAMP levels.,subunit:Binds, as a tetramer, through its N-terminal region, with the bZIP domain of CREB1. 'Arg-314' in the bZIP domain of CREB1 is essential for this interaction. Interaction, via its C-terminal, with TAF4, enhances recruitment of TAF4 to CREB1. Binds HTLV1 Tax.,tissue specificity:Highly expressed in adult and fetal brain. Located to specific regions such as the prefrontal cortex and cerebellum. Very low expression in other tissues such as heart, spleen, lung, skeletal muscle, salivary gland, ovary and kidney.,
show all
Cellular Localization:
Cytoplasm . Nucleus . Cytoplasmic when phosphorylated by SIK or AMPK and when sequestered by 14-3-3 proteins (PubMed:16817901). Translocated to the nucleus on Ser-151 dephosphorylation, instigated by a number of factors including calcium ion and cAMP levels (PubMed:15589160). Light stimulation triggers a nuclear accumulation in the suprachiasmatic nucleus (SCN) of the brain (By similarity). .
show all
Research Areas:
>>Human T-cell leukemia virus 1 infection
show all
Catalog: YP1534
Size
Price
Status
Qty.
200μL
$600.00
In stock

0

100μL
$340.00
In stock

0

50μL
$190.00
In stock

0

Add to cart

Collected

Collect

Customized Service

Toggle night Mode

{{pinfoXq.title || ''}}

Catalog: {{pinfoXq.catalog || ''}}
Filter:

All

{{item.name}}

{{pinfo.title}}
-{{pinfo.catalog}}

Filter:

{{item.descr}}

Main Information
Target
{{pinfo.target}}
Reactivity
{{pinfo.react}}
Applications
{{pinfo.applicat}}
Conjugate/Modification
{{pinfo.coupling}}/{{pinfo.modific}}
MW (kDa)
{{pinfo.mwcalc}}
Host Species
{{pinfo.hostspec}}
Isotype
{{pinfo.isotype}}
Learn more
Product {{index}}/{{pcount}}
Prev
Next

{{pvTitle}}

Scroll wheel zooms the picture
{{pvDescr}}